前歯が出ていて, 並べたい場合, 矯正でも並べられますが, 歯が大きい場合は並べるとアーチも大きくなるので, 顔が大きく見えてしまいます,抜歯矯正をするほどでもなく, どうするのか?, カウンセリングだけでも, お待ちしております🫶,韓国系 韓国系ファッション韓国系男子セラミック矯正 セラミック矯正なら美容歯科医インビザラインgo美容歯科美容歯科審美歯科。
前歯 大きい 可愛い (263 無料写真)
目立つうさぎのような歯のコンプレックス ミニッシュ歯科病院で前歯矯正!韓国歯科 ミニッシュ歯科病院 本院•江南店 ブログ。
今田美桜さんの前歯や歯並びを批評 - 僕の審美歯科ガイド前歯の差し歯治療で後悔しないための情報源。
大きい前歯を歯列矯正で治す方法を解説歯列矯正で期待できる効果もご紹介します。
TWICE「ナヨン」前歯矯正? 「うさぎ感」薄まり、残念がる声 - デバク。
可愛い前歯選手権 第2弾 - 誰も待ってないTikTok。
前歯を小さくする方法を解説前歯が大きく見える原因や治療方法。
反っ歯、ビーバー歯とは? 歯並びの特徴やリスクをわかりやすく解説葛西モア矯正歯科葛西駅から徒歩0分・西葛西駅も徒歩圏内・江戸川区の矯正治療専門歯科医院。
大きい可愛い前歯を隠しちゃってるね🤣🧡 おばあちゃんに貰った肩パッド入りジャケット🧥 肩幅広いね☺️☺️心にもパッド入れたら広くなれるかしら🩷🩷 ぐわははは🤤にこーーーっっ😆😆 今日も元気です!吉本新喜劇よしもと新喜劇新喜劇小林ゆう。
前歯大きい かわいい 知恵袋TikTok。
芸能人、有名人、スポーツ選手のガミースマイル 見えすぎる歯ぐき まとめ - 本町の矯正・歯科 本町ノーブル歯科 矯正歯科 歯並び・矯正無料相談 大阪本町の歯医者 ガミースマイル、歯並び、虫歯。
出っ歯と前歯2本が少し大きいのがコンプレックスなのですが、女の子が笑った時に- Yahoo!知恵袋。
白河れいは前歯が大きすぎてかわいくない?差し歯との噂も徹底調査。
画像 ミイヒの前歯が大きすぎると話題に!昔の方がかわいい!?芸能速報 KATTAN。
世界一前歯がでかい人TikTok。
歯のアップデート”で別人級変身した芸能人のビフォーアフター “出っ歯”に悩んだモデルが掛けた金額は? - 1ページ目 - エンタメ - コラムクランクイン。
上の前歯が大きいので出っ歯ぎみになってしまっています。イビザラインでの治療は可能でしょうか?-橋本歯科・矯正歯科。
前歯が大きい大阪矯正歯科グループ。
歯並びが悪いけど可愛い人とは?歯列矯正した方がいいタイプを紹介!hanaravi歯科矯正blog。
芸能人、有名人、スポーツ選手のガミースマイル 見えすぎる歯ぐき まとめ - 本町の矯正・歯科 本町ノーブル歯科 矯正歯科 歯並び・矯正無料相談 大阪本町の歯医者 ガミースマイル、歯並び、虫歯。
ザギトワ、沢尻エリカを参考に前歯は少し長めが綺麗?審美治療で知っておきたいこと。
20代女性「前歯が大きいのが気になる」マウスピース矯正 インビザライン で治療した症例我孫子の歯医者さんなかむら歯科。
前歯が大きい でかい 悩みを解決!原因と治療法・費用・リスクを解説 公式スマイルモア矯正。
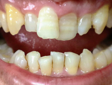
前歯が大きい ので、削って小さくして欲しい」というご要望を時々いただきます。ですが、よく見ると歯の大きさの不揃いではなく“歯並び”が影響している場合が多いです。この方も、上の 前歯2本がウサギの歯のように目立つから削って欲しいと相談されました。前歯の黄金比。
大きな前歯を小さくするには福岡の審美歯科 セラミック矯正 美容歯科 博多プライベート歯科。
歯のアップデート”で別人級変身した芸能人のビフォーアフター “出っ歯”に悩んだモデルが掛けた金額は? - 1ページ目 - エンタメ - コラムクランクイン。
前歯がでかくて大きい歯並びはかわいいの?理想の歯並びにするには?くすべ歯科。
すきっ歯は本当にかわいい?魅力と治療法を徹底解説公式 キレイライン矯正実績12万人最短2.5ヶ月のマウスピース矯正。
大きい前歯治療実例マウスピース矯正・裏側矯正の矯正歯科吉祥寺デンタルクリニック。
第1回前歯が可愛いジャニタレ選手権 - 真夜中のランデヴ。
前歯が大きい理由って?オススメの矯正方法と費用について解説医療法人社団佑健会グループ。
前歯がでかくて大きい歯並びはかわいいの?理想の歯並びにするには?くすべ歯科。
ママになってもかわいい上戸彩さんの秘密は「美しい歯並び」にあり!歯の治療法や治療時期についても分析。
前歯が大きいのはどうすれば良い?高槻クローバー歯科 よくあるご質問。
ビーバー歯 前歯大きい はかわいい?矯正治療での治し方や費用を解説医療法人 札幌矯正歯科 宮の沢エミル矯正歯科。
ザギトワ、沢尻エリカを参考に前歯は少し長めが綺麗?審美治療で知っておきたいこと。
大きな前歯と、他人軸斉藤ナミ。
大きな前歯を小さくするには福岡の審美歯科 セラミック矯正 美容歯科 博多プライベート歯科。
前歯が大きいコンプレックス」の原因!小さくする治療の選択肢を解説。
反っ歯、ビーバー歯とは? 歯並びの特徴やリスクをわかりやすく解説葛西モア矯正歯科葛西駅から徒歩0分・西葛西駅も徒歩圏内・江戸川区の矯正治療専門歯科医院。
前歯が大きいコンプレックス」の原因!小さくする治療の選択肢を解説。
芸能人、スポーツ選手の矯正事情-大阪の小室歯科・矯正歯科。
前歯が大きい理由って?オススメの矯正方法と費用について解説医療法人社団佑健会グループ。
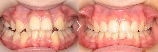
写真あり前歯だけが出ていて大きい、矯正できますか?歯チャンネル歯科相談室。
前歯のでこぼこ 29歳 女性モンテ矯正歯科クリニックまちの歯ならび・かみ合わせ相談室 福岡市東区。
可愛い前歯の作り方 - YouTube。
前歯が大きい悩みを解消するセラミッククラウン。
みりん on X: "歯科衛生士による独断と偏見と 趣向によるプデュ評価 大久保波留:A 真ん中前歯大きいと可愛いく見えるのなんでだろう〜なんでだろう〜こんなに歯並び綺麗なのに アレに気を取られちゃうから 渾身のギャグ言いたい 大えくぼ波留大ウケPRODUCE101JAPAN2。
出っ歯でもかわいい人の特徴とは?放置するリスクも解説。
前歯が大きいコンプレックス」の原因!小さくする治療の選択肢を解説。
白河れいは前歯が大きすぎてかわいくない?差し歯との噂も徹底調査。
高校3年生女子です。私は昔から大きい前歯がコンプレックスで、出っ- Yahoo!知恵袋。
大きい前歯は削るしかない?自分に合った最善の治療法とは? - 東京日本橋エムアンドアソシエイツ矯正歯科。
長くて大きい前歯を小さく。
前歯大きい かわいい 知恵袋TikTok。
ママになってもかわいい上戸彩さんの秘密は「美しい歯並び」にあり!歯の治療法や治療時期についても分析。
キレイライン矯正で出っ歯は治る?知りたい情報をまとめました公式 キレイライン矯正実績12万人最短2.5ヶ月のマウスピース矯正。
藤田ニコル、「前歯2本が仮歯の仮歯」 ドアップショット公開 ファン「ほんとだ短い!!」「超イメチェン」オトナンサ。
芸能人、有名人、スポーツ選手のガミースマイル 見えすぎる歯ぐき まとめ - 本町の矯正・歯科 本町ノーブル歯科 矯正歯科 歯並び・矯正無料相談 大阪本町の歯医者 ガミースマイル、歯並び、虫歯。
第1回前歯が可愛いジャニタレ選手権 - 真夜中のランデヴ。
前歯の横の歯大きいTikTok。
整形なみに美人になる!笑顔輝く歯列矯正。
大きな前歯と、他人軸斉藤ナミ。
上の歯にワイヤー器具が‼️歯の印象について。nanaオフィシャルブログ Powered by Ameba。
20代女性「前歯が大きいのが気になる」マウスピース矯正 インビザライン で治療した症例我孫子の歯医者さんなかむら歯科。
どのような前歯がお好みですか? 歯のお色へのこだわりももちろん大切なのですが、歯の形へのこだわりもかなり大切です。私がセラミック担当させていただく全ての方のご希望をトコトンお聞きします 綺麗系、可愛い系、綺麗&可愛い系mix前歯全てのご要望にお応えできるの。
第1回前歯が可愛いジャニタレ選手権 - 真夜中のランデヴ。
乳歯の前歯が大きいと出っ歯になる」は本当?子どもの出っ歯が気。
I love Woman's tooth on X: "大原櫻子、自然な歯並びと白過ぎない歯に好感が持てる。意外と前歯が大きい、そして可愛い 笑 上下奥歯に詰め物をしてるらしいが生憎確認出来ず 。口を開けて笑うタイプなので今後も狙ってみよう。 https:t.co 6ZtQHSFEY1"X。